Dr Sophie CESARO à Trouillas
Découvrez différents cas cliniques d’orthodontie réalisés par le Dr Sophie CESARO à Trouillas. Ces exemples illustrent les résultats obtenus chez les enfants et les adolescents, selon la situation et les besoins de chaque patient. Chaque traitement est personnalisé afin d’assurer un alignement harmonieux, une fonction dentaire optimale et un sourire équilibré.
Orthodontie chez les enfants : Cas cliniques
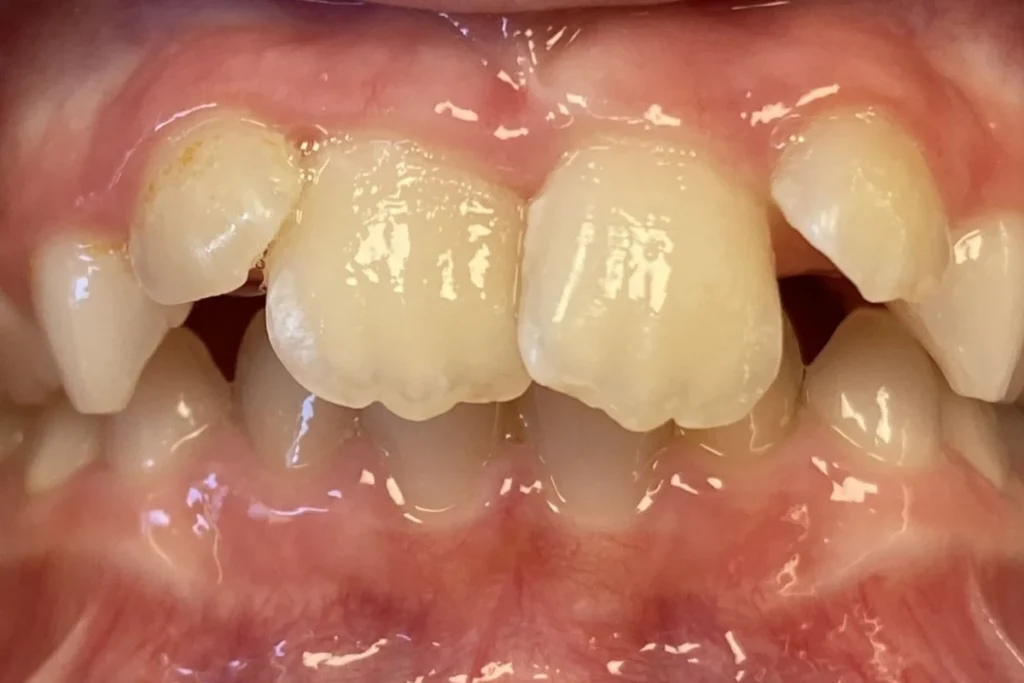
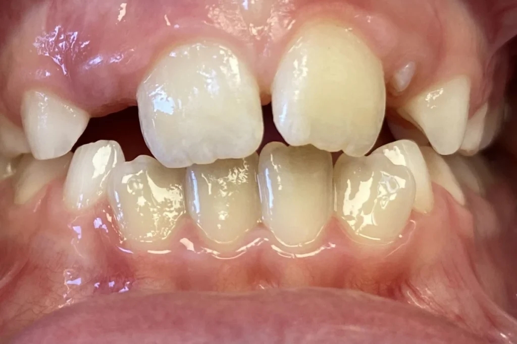
Cas clinique d’enfant # 1


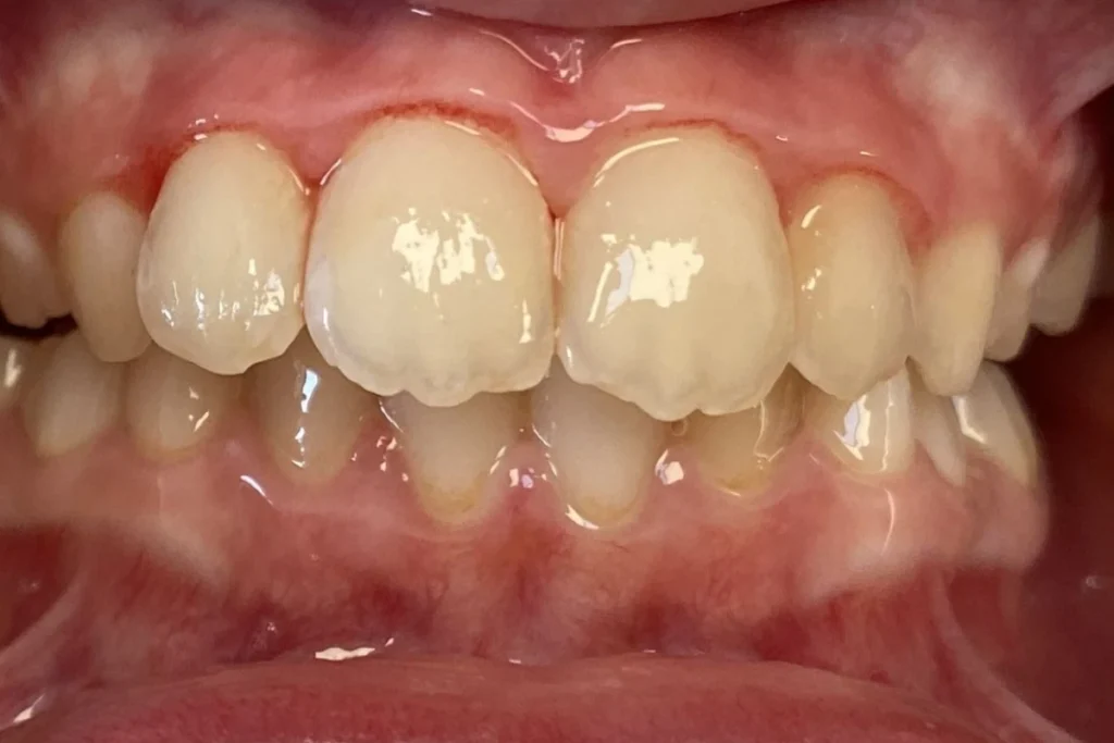
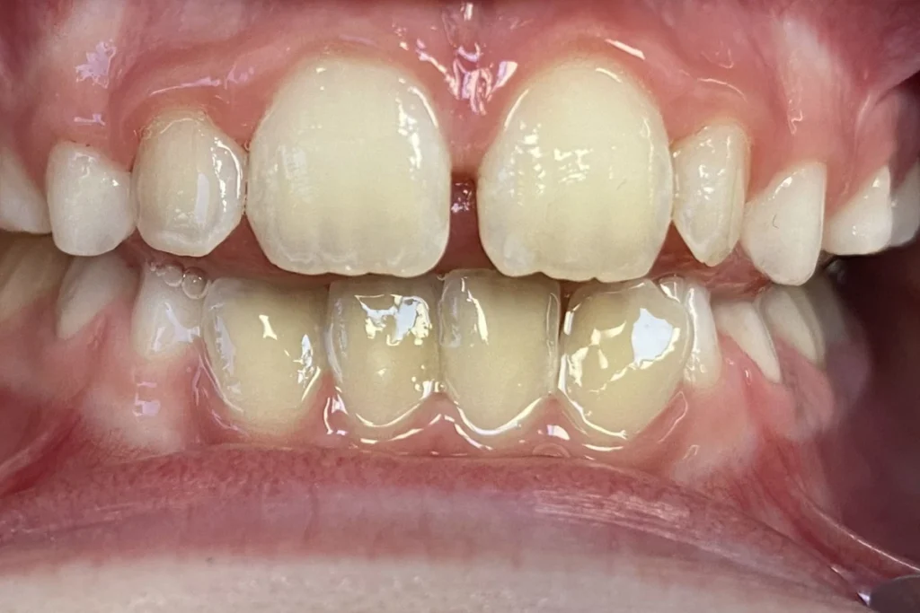
Cas clinique d’enfant (succion pouce) # 2


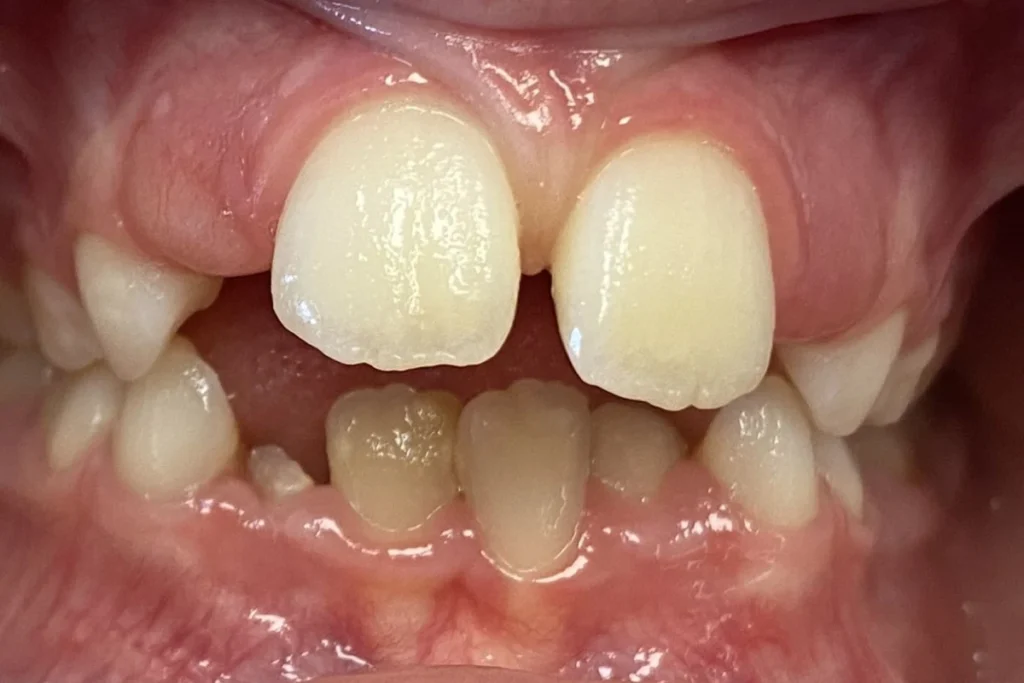
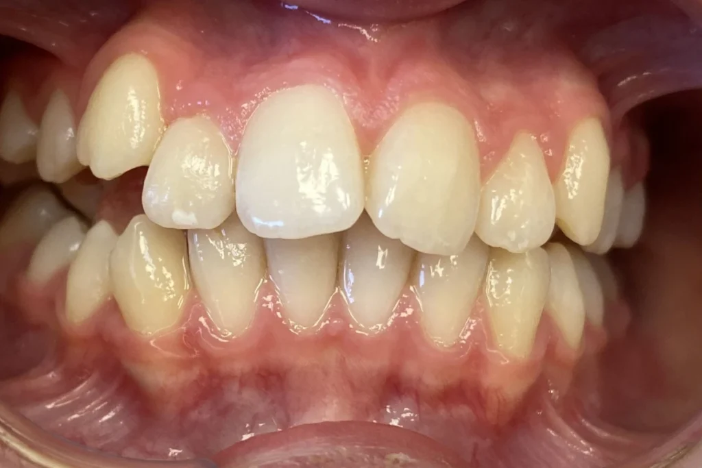
Cas clinique d’enfant # 3


Orthodontie chez les adolescents : Cas cliniques
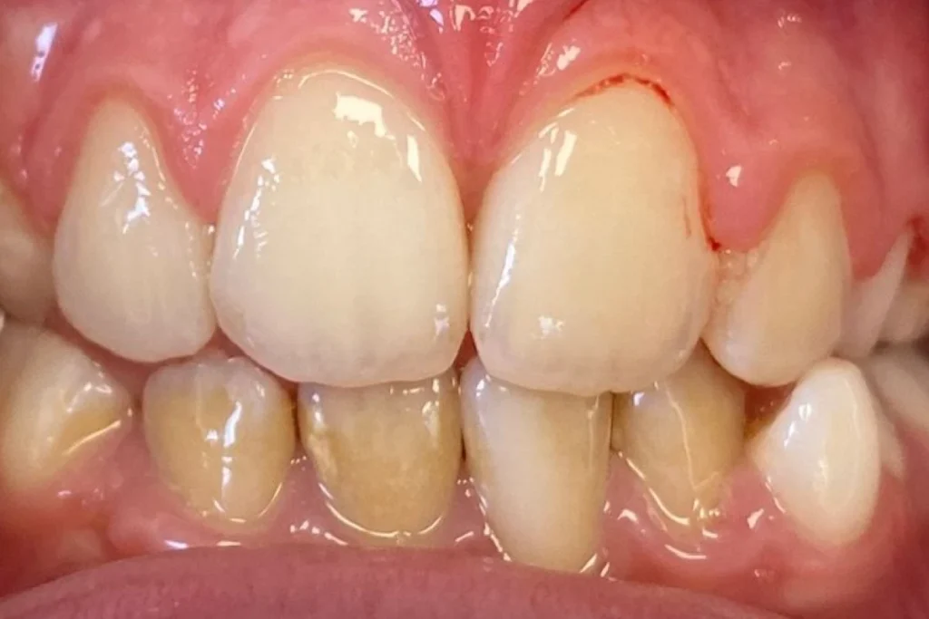
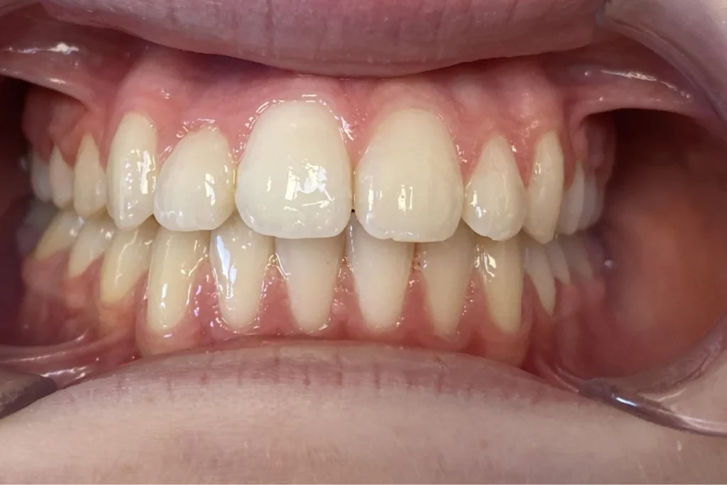
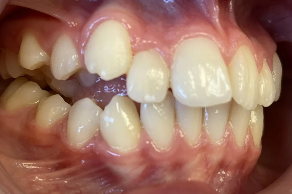
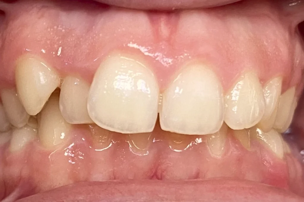
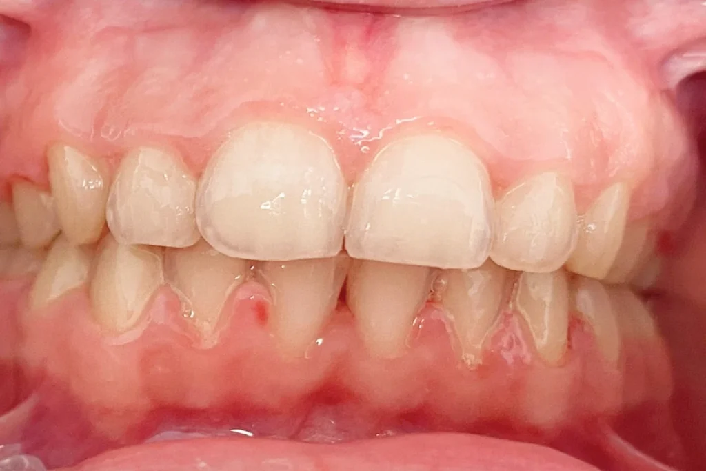
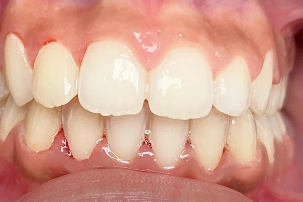
Cas clinique d’adolescent # 1
FACE :


PROFIL :


Cas clinique d’adolescent # 2


Cas clinique d’adolescent #3
FACE :


PROFIL :

